Hệ thống cơ sở
Trang chủKhách hàngKH. Trần Văn Thắng
Tin tức

KH. Trần Văn Thắng

Tham vấn y khoa: Chuyên gia Nha Khoa Quốc Tế Việt Đức 5 tháng trước

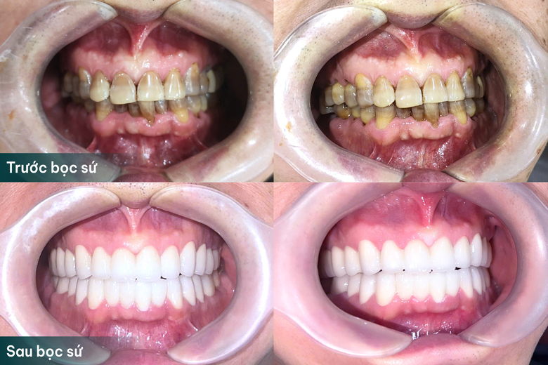
“Đã nhiều năm rồi… tôi quên mất cảm giác tự tin khi cười là như thế nào.” Đó là chia sẻ đầu tiên của anh Trần Văn Thắng, người Mỹ gốc Việt, khi tìm đến MauLux Dental - Nha khoa Quốc tế Việt Đức sau nhiều năm sống chung với hàm răng nhiễm tetracycline nặng.

Suốt thời thanh xuân, màu răng xỉn theo thời gian, men răng yếu và nụ cười kém thẩm mỹ khiến anh luôn ngại giao tiếp, ngại xuất hiện trước ống kính, dù đặc thù công việc tại Mỹ yêu cầu anh phải gặp gỡ và trò chuyện với rất nhiều người.

Tìm hiểu kỹ lưỡng trước khi quyết định và anh đã chọn MauLux Dental

Trước khi về Việt Nam, anh Thắng dành hàng tháng trời để nghiên cứu, so sánh và tìm hiểu thông tin về các nha khoa lớn:

Bác sĩ có chuyên môn cao không?

Công nghệ có hiện đại và an toàn không?

Răng sứ có đảm bảo độ tự nhiên, bền chắc lâu dài không?

Và cuối cùng, anh đã chọn Nha khoa Quốc tế Việt Đức – nơi anh cảm nhận được sự uy tín, chuyên môn và tâm huyết của đội ngũ bác sĩ.

Chỉ sau 2 ngày: Anh Thắng tìm lại nụ cười đã đánh mất suốt nhiều năm

Dưới sự thực hiện của TS.BS Trịnh Đức Mậu, từng chiếc răng sứ được thiết kế riêng theo cấu trúc gương mặt, khuôn miệng, và nụ cười đặc trưng của anh.

Tình trạng răng trước của anh Thắng khá mất thẩm mỹ, men răng yếu

Khoảnh khắc nhìn vào gương và sự xúc động vỡ òa

Khi hoàn thiện nụ cười, anh đã đứng trước gương thật lâu rồi xúc động nói:

“Tôi không nghĩ mình có thể đẹp như vậy. Tự nhiên, sáng, giống hệt răng thật… và quan trọng là tôi cảm thấy mình được ‘là mình’.”

Không chỉ thẩm mỹ thay đổi rõ rệt, mà chức năng ăn nhai của anh cũng được cải thiện vượt bậc:

Cảm giác nhai nhẹ nhàng, thoải mái hơn

Răng không còn ê buốt

Gương mặt trở nên rạng rỡ, trẻ trung và hài hòa

Chỉ trong 2 ngày, anh Thắng bước ra khỏi MauLux Dental với một phiên bản tự tin,  tươi sáng, tràn đầy năng lượng hơn.

Anh Thắng trông trẻ ra rất nhiều sau khi bọc răng sứ

MauLux Dental – Nơi trao trọn niềm tin về nụ cười mới

Anh Thắng chia sẻ rằng điều khiến anh yên tâm nhất chính là:

Chuyên môn sâu của TS.BS Trịnh Đức Mậu, người trực tiếp thăm khám và phục hình

Công nghệ thiết kế nụ cười hiện đại, mô phỏng chính xác nụ cười trước khi bọc

Chất liệu răng sứ cao cấp, chân thật, thấu quang và bền bỉ

Quy trình nhẹ nhàng, an toàn, đảm bảo kết quả tối ưu

MauLux Dental đã đồng hành, lắng nghe và mang đến nụ cười mà anh đã mong chờ suốt nhiều năm.

Cảm ơn anh Trần Văn Thắng, người đàn ông đã “trở lại là chính mình” sau khi bọc răng sứ

Chúc anh sẽ luôn giữ nụ cười rạng rỡ ấy, dù ở Việt Nam hay trên đất Mỹ.

Một nụ cười mới không chỉ làm đẹp hơn gương mặt…

Mà còn giúp mỗi người tự tin hơn trên mọi hành trình cuộc sống.

Có thể bạn quan tâm

Xem tất cả
Đăng Ký Tư Vấn

Nhận tư vấn từ bác sĩ chuyên gia, hiểu rõ tình trạng răng và chọn giải pháp tối ưu.

    Đăng ký thành công

    Cảm ơn bạn! Chúng tôi đã nhận được thông tin và sẽ liên hệ sớm nhất.