Tự ti vì nụ cười chưa như ý
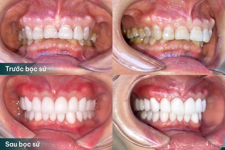
Trước đây, chị Ngân luôn cảm thấy không thoải mái mỗi khi cười. Hàm răng ố vàng, xỉn màu, hình thể răng chưa cân đối khiến chị thường chỉ dám mỉm nhẹ khi chụp ảnh và dè dặt trong giao tiếp hằng ngày.
“Nhiều lúc muốn cười thật tươi, nhưng lại ngại… vì sợ nụ cười của mình không đẹp” – chị tâm sự.
Nụ cười không trọn vẹn đã vô tình khiến chị đánh mất đi sự tự tin vốn có trong công việc cũng như cuộc sống.
Bước ngoặt từ quyết định bọc răng sứ tại MauLux Dental
Sau thời gian tìm hiểu kỹ, chị Ngân quyết định lựa chọn MauLux Dental để thực hiện bọc răng sứ thẩm mỹ. Ngay trong buổi thăm khám đầu tiên, chị được các bác sĩ tư vấn chi tiết về tình trạng răng cũng như thiết kế nụ cười phù hợp với khuôn mặt và phong cách riêng.
Từng chiếc răng sứ được đo đạc, tinh chỉnh kỹ lưỡng để đảm bảo:
– Màu sắc tự nhiên như răng thật.
– Form răng hài hòa với gương mặt.
– Khớp cắn chuẩn, ăn nhai thoải mái.
– Độ bền và tính thẩm mỹ lâu dài.

Kết quả khiến ai cũng bất ngờ.
Sau khi hoàn tất quá trình bọc răng sứ, “phiên bản mới” của chị Ngân khiến chính chị cũng phải ngạc nhiên khi nhìn mình trong gương:
– Nụ cười trắng sáng, đều đẹp tự nhiên.
– Form răng thanh thoát, giúp gương mặt mềm mại và hài hòa hơn.
– Thần thái rạng rỡ, trẻ trung hơn rõ rệt.
Bạn bè, đồng nghiệp gặp lại đều trầm trồ: “Nhìn chị khác hẳn – trẻ, tươi và cuốn hút hơn rất nhiều!”
Còn chị Ngân chỉ mỉm cười thật tươi: “Bọc răng sứ xong, tôi thấy mình tự tin hơn rất nhiều. Chỉ một thay đổi nhỏ ở nụ cười mà cảm giác như cả con người mình cũng khác.”

Vì sao chị Trần Thị Ngân chọn MauLux Dental?
– Đội ngũ bác sĩ thẩm mỹ răng sứ chuyên sâu, giàu kinh nghiệm.
– Công nghệ thiết kế nụ cười hiện đại, cá nhân hóa cho từng khách hàng.
– Vật liệu răng sứ cao cấp, an toàn, bền đẹp lâu dài.
– Quy trình chuẩn y khoa – nhẹ nhàng, hạn chế xâm lấn.
– Chế độ chăm sóc và bảo hành rõ ràng, uy tín.
MauLux Dental – Nơi nâng niu từng nụ cười
Với đội ngũ chuyên gia đầu ngành và hệ thống thiết bị hiện đại, MauLux Dental – Nha khoa Quốc tế Việt Đức không chỉ giúp khách hàng có hàm răng đẹp, mà còn mang lại sự tự tin và tâm thế tích cực hơn mỗi ngày.
Cảm ơn chị Trần Thị Ngân đã tin tưởng MauLux Dental trên hành trình tìm lại nụ cười rạng rỡ.
Chúc chị luôn tỏa sáng với nụ cười mới – tự tin, trẻ trung và đầy năng lượng!

