Niềng răng sớm – Món quà âm thầm thay đổi tương lai của con
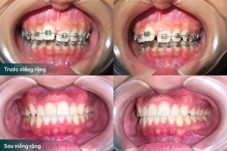
Trước khi niềng răng, Nhật Minh luôn ngại cười vì tình trạng răng hô, thưa, khiến em thiếu tự tin khi giao tiếp với bạn bè và ít xuất hiện trong những tấm hình kỷ niệm. Dù còn nhỏ, nhưng Minh đã sớm cảm nhận được sự khác biệt của mình so với bạn bè đồng trang lứa, từ đó hình thành tâm lý e dè, thu mình.
Hiểu được những ảnh hưởng lâu dài của sai lệch răng và khớp cắn, bố mẹ đã quyết định cho Minh niềng răng sớm tại MauLux Dental – một lựa chọn kịp thời, nhẹ nhàng nhưng mang ý nghĩa thay đổi tương lai của con.
Chỉnh nha đúng thời điểm, hiệu quả bền vững theo năm tháng
Tại MauLux Dental, Nhật Minh được thăm khám kỹ lưỡng bởi đội ngũ bác sĩ chỉnh nha giàu kinh nghiệm, xây dựng phác đồ điều trị riêng phù hợp với từng giai đoạn phát triển răng – xương hàm. Nhờ áp dụng công nghệ chỉnh nha hiện đại, quá trình niềng răng diễn ra nhẹ nhàng, an toàn và hiệu quả rõ rệt theo từng giai đoạn.
Sau hành trình chỉnh nha, Nhật Minh của hôm nay đã thay đổi đầy tích cực:
– Hàm răng đều đẹp, cân đối rõ rệt.
– Gương mặt hài hòa, tự nhiên hơn.
– Nụ cười rạng rỡ, ánh mắt tự tin.
– Giao tiếp cởi mở, tinh thần vui vẻ mỗi ngày.
Không chỉ cải thiện thẩm mỹ, niềng răng sớm còn giúp Minh xây dựng nền tảng khớp cắn chuẩn, hạn chế nguy cơ lệch hàm, rối loạn khớp thái dương – hàm và các bệnh lý răng miệng trong tương lai.

Niềng răng không chỉ là làm đẹp mà là đầu tư cho tương lai
Khác với nhiều người nghĩ rằng niềng răng chỉ để làm đẹp, thực tế chỉnh nha sớm cho trẻ mang giá trị lâu dài về cả sức khỏe lẫn tâm lý phát triển. Khi trẻ có nụ cười tự tin, quá trình hòa nhập, học tập và hình thành nhân cách cũng trở nên dễ dàng hơn.
Với Nhật Minh, đó không chỉ là hành trình thay đổi diện mạo, mà là bước khởi đầu cho sự tự tin, bản lĩnh và trưởng thành.

MauLux Dental – Đồng hành cùng nụ cười trẻ thơ lớn lên trọn vẹn
MauLux Dental tự hào đã và đang đồng hành cùng hàng ngàn gia đình trên hành trình chăm sóc nụ cười cho con trẻ. Từng ca chỉnh nha không đơn thuần là một liệu trình điều trị, mà là một lời gửi gắm niềm tin, tình yêu thương của bố mẹ dành cho tương lai con.
Cảm ơn gia đình Nhật Minh đã tin tưởng MauLux Dental.
Chúc em luôn giữ nụ cười rạng rỡ, vững vàng bước trên hành trình khôn lớn!

