Hệ thống cơ sở
Trang chủKhách hàngKH. Nguyễn Tiến Cường
Tin tức

KH. Nguyễn Tiến Cường

Tham vấn y khoa: Chuyên gia Nha Khoa Quốc Tế Việt Đức 6 tháng trước

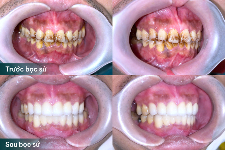
Khách hàng Nguyễn Tiến Cường tìm lại nụ cười tự tin sau khi bọc 28 răng sứ Emax tại MauLux Dental. Trải nghiệm dịch vụ thẩm mỹ răng hiện đại, chuẩn quốc tế.

Nụ cười đẹp không chỉ giúp con người trở nên thu hút hơn mà còn mở ra nhiều cơ hội trong cuộc sống và sự nghiệp. Câu chuyện thay đổi của anh Nguyễn Tiến Cường sau khi bọc răng sứ tại MauLux Dental – Nha khoa Quốc tế Việt Đức là minh chứng rõ ràng cho sức mạnh của sự tự tin được khơi lại từ một nụ cười khỏe đẹp, sáng rạng.

Khi nụ cười chưa thể là điều tự hào

Ít ai biết rằng, trước đây anh Cường từng luôn né tránh máy ảnh và những khoảnh khắc cần mỉm cười, bởi răng ố vàng, xỉn màu; men răng yếu, thiếu thẩm mỹ. Những điều đó khiến anh càng ngày càng ngại giao tiếp

“Ra ngoài đi làm, tiếp xúc với khách hàng mà cứ sợ người ta nhìn vào răng của mình…” – anh từng chia sẻ.

Nụ cười tưởng chừng nhỏ bé, nhưng lại là vật cản vô hình khiến anh khó bứt phá trong sự nghiệp.

Quyết định thay đổi – Bước đi của sự dũng cảm

Sau thời gian cân nhắc và tìm hiểu, anh đã lựa chọn bọc 28 răng sứ Emax tại MauLux Dental – một trong những hệ thống nha khoa quốc tế uy tín hàng đầu Việt Nam.

Tại đây, anh được TS.BS Trịnh Đức Mậu trực tiếp thăm khám – chuyên gia có hơn 30 năm kinh nghiệm trong thiết kế nụ cười và phục hình thẩm mỹ.

Ứng dụng công nghệ Digital Smile Design (DSD) giúp mô phỏng nụ cười tương lai ngay trên máy tính, đảm bảo tính thẩm mỹ và phù hợp với cấu trúc gương mặt từng milimet.

Với quy trình nhanh chóng, bác sĩ tận tâm, chỉn chu đã tạo cho anh Cường cảm giác yên tâm tuyệt đối.

Anh đã quyết định thẩm mỹ 28 răng sứ cao cấp

Nụ cười mới – Bước ngoặt của sự tự tin

Khoảnh khắc nhìn thấy hình ảnh mới của chính mình, anh Cường không giấu được nụ cười thật tươi:

“Tôi cảm thấy trẻ hơn, tự tin hơn. Giờ tôi có thể cười thoải mái trước mọi người và sẵn sàng nắm lấy mọi cơ hội trong cuộc sống.”

Không còn sự ngại ngùng, thay vào đó là khí chất mạnh mẽ của một người đàn ông biết mình xứng đáng với điều tốt đẹp hơn.

Anh Cường thay đổi rất nhiều sau bọc răng sứ

Điểm khác biệt làm nên chất lượng tại MauLux Dental

– Công nghệ thiết kế nụ cười DSD – cá nhân hóa từng khách hàng.

– Răng sứ Emax cao cấp: trong tự nhiên, bền chắc dài lâu.

– Quy trình vô khuẩn chuẩn quốc tế.

– Bác sĩ chuyên môn cao, kinh nghiệm dày dặn.

– Chăm sóc hậu điều trị chu đáo.

Tại MauLux Dental, mỗi chiếc răng sứ không chỉ là sản phẩm phục hình, mà là tác phẩm nghệ thuật chứa tâm huyết của đội ngũ bác sĩ và kỹ thuật viên.

Sự thay đổi của anh Nguyễn Tiến Cường không chỉ nằm ở vẻ bề ngoài, mà quan trọng hơn là anh tìm lại chính mình, tự tin và sẵn sàng tiến xa hơn trong cuộc sống.

Có thể bạn quan tâm

Xem tất cả
Đăng Ký Tư Vấn

Nhận tư vấn từ bác sĩ chuyên gia, hiểu rõ tình trạng răng và chọn giải pháp tối ưu.

    Đăng ký thành công

    Cảm ơn bạn! Chúng tôi đã nhận được thông tin và sẽ liên hệ sớm nhất.